Meet Dr. Steven Ray
Fulfilling his lifelong dream of becoming a dentist, Dr. Steven Ray has been practicing for over 25 years in his hometown of Little Rock, AR. He provides individualized restorative and cosmetic dentistry services to his friends and neighbors, catered to their unique needs and goals. As the foundation of his practice, Dr. Ray strives to educate his patients, so they can become active participants in their oral health.
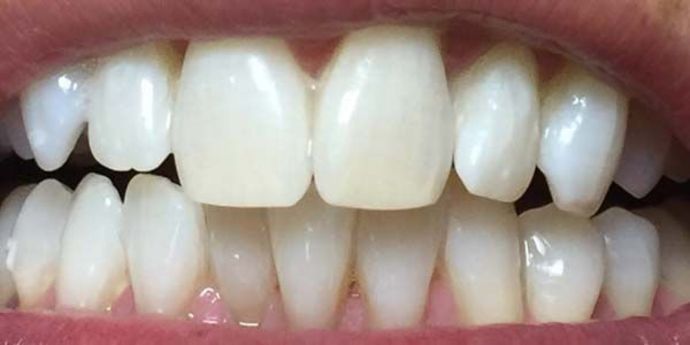
Before
After
We can lighten your smiles up to eight shades using our advanced Zoom! Teeth Whitening system.
Trusted Care
“Great staff, great dentist. I love the family atmosphere and the quality of care & treatment. I have recommended many to Dr. Ray, and they all feel the same way I do. My family would not trust their dental care to anyone else. ”
Transforming Your Smile
Dr. Ray takes great pride in helping his patients achieve their aesthetic goals. Over the last two decades, Dr. Ray has fine-tuned his craft, developing the vision and technical expertise needed to provide the highest quality care. As an expert in cosmetic services, Dr. Ray can customize your treatment to enhance your natural features, while correcting dental flaws such as chips, cracks, or stains. To ensure optimal results, our team incorporates the latest technology into a variety of procedures, including porcelain veneers and Zoom! Teeth Whitening.
Comprehensive Services
To maintain your oral health and smile, Dr. Ray and his team provide cosmetic and restorative dentistry procedures, including:
- Porcelain Veneers
- Dental Implants
- Composite Fillings
- All-on-4® Dental Implants
- Dental Crowns
- Teeth Whitening
- Inlays and Onlays
- Sealants
- Dental Bonding
- Tooth Extractions
- Dentures
- Root Canal Therapy
- Dental Bridges
- Sedation
- Dental Cleanings
- Preventive Care
- Smile Makeover
- Family Dentistry
- Dental Emergencies
- Full Mouth Reconstruction
Patient Reviews
“Dr. Ray is an excellent dentist who really cares about his patients. Thank you for your professionalism. You and your staff are the best.”
Affiliations


Designed for Your Comfort
Our boutique dental practice is designed for optimal patient comfort and safety, featuring satellite TV, modern decor, and four top-of-the-line operatories. To ensure you feel confident in our services, our friendly and welcoming team can guide you through each step of your dental procedure. In addition, we can provide sedation to further put you at ease. At Ray Dental we strive to make every visit as convenient and efficient as possible, while delivering exceptional results.
Convenient Care
We understand that some patients may need immediate attention after experiencing a dental emergency. To relieve discomfort and protect your oral health, Dr. Ray is available after hours to provide emergency dental services.
Contact Us Today
“This is the best dental office I've been to in years. Dr. Ray has helped with my dental anxiety and has resolved complications from previous dental work. I recommend him to anyone looking for a dentist to get the job done with minimal pain.”